Go to content

Denise Milward

A personal site and blog sharing stories, views and insights across computing, culture, life, medical, politics, science, sport and travel.
Skip menu
Planet Milward
Skip menu
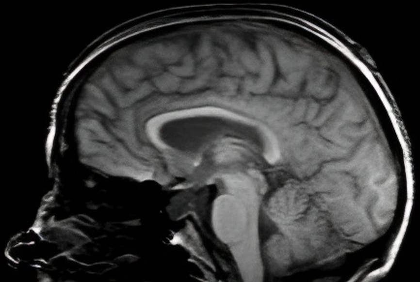
Subarachnoid hemorrhage scan

The Life-Altering Day: My Subarachnoid Hemorrhage

Category Medical Author Denise Milward Date 04/03/2026 Read time 4:30
My journey through a life-altering experience with a subarachnoid hemorrhage.
Copyright © 2026 Planet Milward. All rights reserved.
Planet Milward is not responsible for the content of external sites.

Cookie Policy            Privacy Policy
Back to content